下部消化管内視鏡検査(大腸カメラ)
下部消化管内視鏡検査は、肛門から内視鏡を挿入し、大腸と小腸の一部を観察します。
組織検査のために病変の一部を採取したり、ポリープを内視鏡的に切除することも可能です。
施行日:月・火・木・金(14時00分~)
組織検査のために病変の一部を採取したり、ポリープを内視鏡的に切除することも可能です。
施行日:月・火・木・金(14時00分~)

内視鏡
当院の特徴
①希望される方は、麻酔を使って寝たままうけられます
- 鎮静剤を使用して30分程度、寝たままで検査を行いますので、検査中の苦痛を感じずに検査を受けていただけます。
- 鎮静剤を使用された方は当日、車の運転はできません。
②最新の内視鏡システムを導入
- 従来のカメラより高解像度でより鮮明に観察が可能となります。
- NBI(狭帯域光観察)にて粘膜の細かい表面模様や毛細血管をくっきり映し出します。
③炭酸ガスを使用することで腹満感の軽減
- 大腸カメラは観察時に腸を膨らめて観察します。この空気量が多くなると検査中や検査後におなかの張りが強くなり痛みや苦痛の原因となります。炭酸ガスは、空気より体内への吸収が約200倍以上速いため腹満感が軽減されます。
④検査は、内視鏡専門医が担当いたします
⑤カメラの挿入が困難な場合は当日、大腸CTに変更可能
- 腸が長い、憩室や癒着があるなどカメラの挿入が困難な場合、大腸CTに変更し評価いたします。
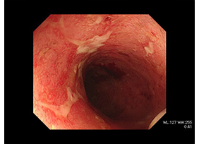
症例

進行大腸がん(S状結腸)

大腸ポリープ(有茎)

潰瘍性大腸炎

